整形外科
当科での手術方法について
1. 側弯症手術
背中側を切開して椎骨の後方に椎弓根スクリューという金属を挿入して変形を矯正する手術を行います。椎弓根スクリューによる変形矯正は従来の方法に比べ良好な矯正が可能です。ナビゲーションシステムを導入して、正確に椎弓根スクリューを挿入できるように安全対策を行っております。また手術中は常に脊髄に電気を流し、脊髄神経の障害が起きていないかをリアルタイムに確認できる脊髄モニタリングも行いながら手術を行っており、手術治療の安全性はかなり高くなっております。
症例:特発性側弯症




2. 成人脊柱変形に対する変形矯正手術
脊柱変形矯正手術は、脊椎外科の中でも最も難易度の高い手術のひとつとして位置づけられています。当院では脊柱変形疾患における代表的手術である脊柱変形矯正手術に取り組んでいます。近年ではLLIF(5.を参照してください)といわれる固定術が導入され手術が低侵襲化され、80歳代の高齢の方でも条件が合えば手術を選択することが出来るようになりました。


手術によって前傾姿勢が改善して問題なく歩行ができるようになりました。


手術によって前傾姿勢が改善して問題なく歩行ができるようになりました。
3. 頚椎手術(頚椎前方固定術、頚椎椎弓形成術、頚椎インストルメント手術)
頚椎手術は前方からあるいは後方から進入する方法に大きく2つに分かれます。頚椎前方固定術は頚椎を前から進入し、椎間板を郭清し、椎体を削って神経の圧迫を取り除き、金属製の内固定材(ケージ)と金属製のプレートで固定する手術です。必要に応じ骨盤や下腿から骨を採取します。また、骨を採取したあとの骨盤にはセラミックなどの人工物を補填する場合もあります。頚椎椎弓形成術は後方から脊柱管を広げ、脊髄の圧迫をとる手術です。手術の選択は患者さんの状態によって決定します。
① 頚椎前方固定術
頚椎を前から病巣を覚醒して骨盤の骨を移植して金属で固定しています。

② 頚椎後縦靭帯骨化症に対する頚椎前方固定術
頚椎を前から後縦靭帯を菲薄化して下肢の骨を移植して金属で固定しています。十分に除圧されています。

③ 椎弓形成術(後方手術)
後方から椎弓といわれる骨を削り脊柱管(神経の通り道)を拡大する方法です。

④ 頚椎後方インストルメント手術
後方から金属(インストルメント)を用いて固定します。多くは椎弓形成を追加します。
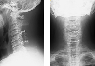
下の画像は透析脊髄症に対する再手術例です。インストルメントで頚椎を再建しています。

4. 骨粗鬆症性椎体骨折の再建手術
骨粗鬆症は1,500万人以上の患者さんがいるとされ、高齢化が進行しているわが国では骨粗鬆症に伴う骨折も増加しています。骨粗鬆症の薬を使い、骨折の予防をすることは重要ですが骨折が起きてしまった場合、それとは別に背骨の骨折(椎体骨折といいます)に対する治療が必要になります。椎体骨折は骨折が起きた場合はまずコルセットなどの保存療法が行われますが、麻痺症状がある、骨癒合が得られず持続性の強い腰痛があるなどの症状がみられた場合は必要に応じ手術が検討されます。
手術は①骨折椎体にセメントを挿入して固定する方法、②金属を用いて脊柱を固定する方法、③骨折椎体を金属で置き換える方法など病態に応じて治療法を選択しています。
① セメントを挿入して固定する方法の手術手技
針を皮膚から背骨にさして、その針の中に風船を入れてふくらまし空洞を作成し、その空洞にセメントを注入する方法です。針を刺して行いますので低侵襲な方法です。


② 骨折椎体をセメントと金属で補強する方法
骨折した椎体にセメントを注入して補強し、さらに金属で補強しています。

③ 骨折椎体を金属で置き換える方法
骨折した椎体を摘出して金属で補強する方法です。
下のレントゲンでは骨折部をLIFFと同様な進入経路で椎体を摘出し金属で置き換えています。

5. 側方椎体間固定術(LLIF)
側方椎体間固定術(LLIF)は腰椎に対して体の側面から椎間ケージといわれるスペーサーを椎間板腔に入れる方法です。側臥位(横向き)で手術を行います。筋肉などの組織を分けて手術するので組織のダメージが比較的少ない低侵襲な方法です。椎間ケージも体の後方より入れる方法(PLIF)に比べて大きなサイズのものが挿入可能で、椎間矯正力や骨癒合率の向上が期待できます。ただ手術の際に骨盤により進入経路が制限されることがあり、手術の適応にならないことがあります。

手術は横向きになり体の側面から手術をします。


組織を分けて(左図)、cageを椎間板内に挿入しているところです。

椎体のすべり(ずれ)が矯正され神経の圧迫が取れています。
6. 低侵襲後方椎体間固定術(MIS-PLIF)
低侵襲後方椎体間固定術(MIS-PLIF)は腰椎に対して背中側(後方)からアプローチする方法です。腹臥位(うつ伏せ)で手術を行います。筋肉などの組織を分けて手術するので組織のダメージが比較的少ない低侵襲な方法です。まずスクリューを入れるために皮膚に1.5~2.0cm程度の切開を行います。さらに正中を切開して、椎弓といわれる骨を切除し神経の圧迫を取り、さらに椎間ケージといわれるスペーサーを椎間板腔に入れます。比較的オーソドックスな低侵襲手術です。
