放射線室
放射線室では、各診療科からの検査依頼を受け、診療放射線技師が医療機器(放射線機器)を用いて画像検査を行っています。
患者様に安心して検査を受けていただけるよう、また診断価値の高い画像を提供できるよう努めています。検査の種類は多岐にわたりますので、疑問点は遠慮なく担当の診療放射線技師にご相談ください。また、栃木県県北の中核病院として地域の医療機関と連携し、CT・MRI・核医学・PET-CTの検査の受け入れも行っています。
大学の関連施設として、放射線・情報科学科の学生の臨床実習をはじめ、他学科の学生の見学実習も行っています。
- 【スタッフ】
- 診療放射線技師 41名(男性28名、女性13名)
- 【資格・認定】
- 第1種放射線取扱主任者 7名
日本放射線技師会認定 放射線機器管理士 1名
日本放射線技師会認定 放射線管理士 1名
日本放射線技師会認定 医用画像情報管理士 2名
日本乳がん検診精度管理中央機構 検診マンモグラフィ撮影認定技師 3名
肺がんCT認定機構 肺がんCT認定技師 1名
日本X線CT専門技師認定機構 X線CT認定技師 2名
医学物理士認定機構 医学物理士 1名
放射線治療品質管理機構 放射線治療品質管理士 1名
中央労働災害防止協会 衛生工学衛生管理者 1名
診療放射線技師臨床実習指導者講習会修了者 7名
診療実績【2024年度】
※横にスクロールしてご覧いただけます。
| 区分 | 4月 | 5月 | 6月 | 7月 | 8月 | 9月 | 10月 | 11月 | 12月 | 1月 | 2月 | 3月 | 合計 |
|---|---|---|---|---|---|---|---|---|---|---|---|---|---|
| 一般撮影 | 3,819 | 4,050 | 4,088 | 4,156 | 4,034 | 3,956 | 4,251 | 4,137 | 4,156 | 3,894 | 3,840 | 3,753 | 48,134 |
| 乳房撮影 | 102 | 73 | 90 | 91 | 90 | 90 | 97 | 115 | 105 | 92 | 76 | 103 | 1,124 |
| 骨密度測定 | 61 | 65 | 72 | 70 | 71 | 43 | 52 | 52 | 53 | 66 | 57 | 61 | 723 |
| 透視・造影検査 | 131 | 145 | 126 | 147 | 137 | 119 | 157 | 138 | 132 | 108 | 115 | 122 | 1,577 |
| CT検査 | 1,670 | 1,774 | 1,711 | 1,760 | 1,696 | 1,657 | 1,796 | 1,707 | 1,785 | 1,759 | 1,605 | 1,800 | 20,720 |
| MRI検査 | 759 | 741 | 766 | 787 | 763 | 690 | 745 | 729 | 748 | 688 | 711 | 804 | 8,931 |
| 血管造影検査 | 132 | 124 | 113 | 111 | 122 | 119 | 144 | 116 | 113 | 107 | 107 | 101 | 1,409 |
| SPECT検査 | 85 | 67 | 63 | 62 | 65 | 58 | 70 | 49 | 76 | 76 | 71 | 67 | 809 |
| PET検査 | 65 | 65 | 62 | 61 | 47 | 63 | 89 | 61 | 71 | 61 | 55 | 87 | 787 |
| 放射線治療 | 381 | 508 | 490 | 496 | 496 | 566 | 551 | 530 | 488 | 416 | 291 | 391 | 5,604 |
| 一般撮影(予防医学) | 1,106 | 1,310 | 1,525 | 1,624 | 1,881 | 1,474 | 1,582 | 1,436 | 1,471 | 1,368 | 1,922 | 1,779 | 18,478 |
| 乳房撮影(予防医学) | 259 | 251 | 327 | 386 | 430 | 370 | 472 | 403 | 394 | 345 | 301 | 315 | 4,253 |
| 胃透視検査(予防医学) | 425 | 599 | 668 | 691 | 670 | 633 | 688 | 626 | 568 | 535 | 549 | 395 | 7,047 |
| 計 | 8,995 | 9,772 | 10,101 | 10,442 | 10,502 | 9,838 | 10,694 | 10,099 | 10,160 | 9,515 | 9,700 | 9,778 | 119,596 |
各検査のご案内
一般撮影検査
一般的にレントゲン検査と呼ばれます。X線を検査部位に照射し、その吸収差が画像となります。
CRシステムからFPDシステムに運用が変わりました。以前使用していたCRシステムに比べて、被ばくを抑えることができます。さらに、よりきれいな画像がより早く提供できるようになりました。

乳房撮影検査(マンモグラフィ)
乳房撮影専用装置を用いて撮影するレントゲン検査です。決められた方向から乳房を圧迫して撮影を行います。これにより、石灰化や各種病変を映し出すことが可能となります。
診断部門と予防医学センターでそれぞれ設置されており、女性の診療放射線技師が担当しています。
当院では患者様が安心・安全に乳房撮影検査を受けて頂くために「マンモグラフィワーキンググループ」を作り、被ばく線量を最小限に抑えた適切なX線出力になっているか、医師が診断に用いるために適した画質が得られているかなど、装置の日常的、定期的な品質管理を行っています。
また当院は、日本乳がん検診精度管理中央機構より「マンモグラフィ検診施設・画像認定」を受けております。


骨密度測定検査 (DXA)
エネルギーの異なるX線の吸収差を利用して骨密度を測定します。測定部位は背骨 (腰椎) と大腿骨が基本ですが、当院の装置は全身の測定も可能です。
骨粗しょう症の診断や治療効果を判定するのに最適な測定方法です。また測定結果は、骨粗しょう症患者の骨折予防の当院の取り組みである「骨折リエゾンサービス (FLS:Fracture Liaison Service) 」に役立っています。




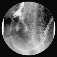
X線透視検査
X線を連続的に照射することで動画として確認することができ、画像としても保存できます。
内視鏡を使った胆管の拡張術や結石の除去、消化管(腸)の検査や治療に利用します。
当院では、従来型のTV装置とCアーム型の2台体制で、様々な検査・処置に対応しております。
また、予防医学センターでは、胃透視(バリウム)検査を多く行っています。



体外式衝撃波結石破砕術ESWL
体外からエネルギー波の衝撃を結石に向けて照射し、身体を傷つけることなく結石のみを粉々に破砕します。
破砕された結石は尿とともに体外に排出されます。
詳しくは、腎泌尿器外科までご相談ください。

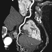
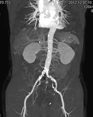
X線CT検査
X線装置を回転させることで、体内の断面像を画像として得ることができます。
造影剤という薬品を用いることで、血管や病変部を強調することもできます。
また、画像処理することにより、立体的な表示や血管部分のみを描出することもできます。
「診断部門」に320列CT装置と64列CT装置、救急外来に80列CT装置が稼働しています。
320列エリアディテクタCT装置のご紹介
この装置は、センサーが1回転する間に16cmの幅を撮影することができ、頭部や心臓などこれまでになく精確なスキャンを行うことができます。
- ・頭部領域
- 血管狭窄、動脈瘤、脳動脈奇形、脳腫瘍などの診断に威力を発揮します。また、造影剤を注入しながらスキャンを行うことで、4D画像を作成することができます。
- ・心臓領域
- 安定狭心症、急性冠症候群、経皮的冠動脈形成術・冠動脈パイパスの術後評価などに有用です。
64列CT装置に比べて息を止める時間が短くてすみ、患者様の負担が大幅に軽減されます。また、従来はよい画像を得ることが難しかった不整脈のある方についても、明瞭に描出する能力があります。 - ・体幹部領域
- 高速スキャンを用いますので、肩~骨盤部までが3秒程度ですみます。
撮影時に息を止める時間が短くてすむことにより、患者様の負担軽減と造影剤の注入量の軽減に大きく寄与します。 - ・検査被ばくの低減
- 被ばく低減システム「AIDR 3D」を用い、積極的に被ばくを低減したスキャンを行うことができます。
検査内容によって大きく異なりますが、被ばく線量を最大で従来の半分程度ですませることができます。






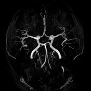
MRI検査
MRIはMagnetic Resonance Imaging (磁気共鳴画像)の略で、強力な磁石の力で体の内部を画像化する装置です。一般撮影検査やX線CT検査などと異なり、放射線を使用しないため被ばくがなく、何回検査をしても体に悪い影響はありません。ただし道路工事をしているような大きな音がしたり、検査室内に金属が持ち込めない等の制限があります。けがの治療などで体内に金属を入れている方は事前にご相談ください。
当院では3.0テスラMRI装置と1.5テスラMRI装置が稼働しています。
- ・脳神経外科領域
- MRIが最も得意とする部位で、頭の血管の描出や脳梗塞、認知症の検査が可能です。予防医学センターでは脳ドックも行っております。
- ・整形外科領域
- 腰や膝などの痛みの原因を調べるのに有用です。
- ・乳房(乳腺)部領域
- 近年増加している乳がんの診断に有用です。
- ・上腹部・骨盤部領域
- 上腹部領域では肝臓や胆嚢・膵臓、下腹部領域では前立腺や子宮・卵巣の疾患の発見に有用です。
- ・DWIBS
- 全身の拡散強調像を撮影する検査で、がんや転移の有無を検索します。
前立腺がんのみ保険適用となりました。






血管造影検査
血管内に細い管(カテーテル)やワイヤーを入れて検査を行い、バルーンやステントを使って治療を行います。当院では4台の装置が稼働しており、それぞれの装置の特長を生かして冠動脈や不整脈、大動脈や末梢血管、頭部血管などの治療を行っています。またハイブリッド手術室では、カテーテル治療と外科的治療を併せた手術を行っています。
さらに定期的に患者被ばくを管理し、適したカテーテル検査および治療を受けて頂けるように尽力しています。




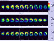
核医学検査
特定の臓器や組織に集まりやすい性質を持った放射性医薬品を体内に投与し、そこから放出される放射線をガンマカメラで画像化することにより体内の様子を調べる検査です。
CTやMRIは、主に臓器の形態の異常を調べるのに対し、核医学検査は、投与された放射性医薬品の分布や集積量、経時的変化の情報から、臓器や組織の形態だけでなく、機能や代謝状態などを評価することができます。
機能や代謝状態の異常は形態変化の前に発現しますので、核医学検査によって病変の早期発見につながる可能性があります。
当院では全身骨、脳、心臓など、多くの部位の検査を行っています。






PET-CT検査
放射線治療
被ばく低減の取り組み
当院では患者様が受ける医療被ばく(レントゲン検査やCT検査などで受ける被ばく)を適正に管理することを目的とした「医療被ばくワーキンググループ」を作り、定期的に医療被ばく研究情報ネットワーク(J-RIME)による診断参考レベル(DRLs)と画像診断装置の被ばく線量を比較検討し、医療被ばくの最適化を目指して活動しております。