放射線治療センター
- 放射線治療装置について
-
当院に導入されているリニアック装置はELEKTA社製Synergy(エレクタ・シナジー)です。最大の特徴は、3種類のX線エネルギー(4・6・10MV)を出力できる事にあります。これによって、治療対象である腫瘍の位置(深さ)、周辺臓器の状況に合わせて、適切なエネルギーを選択する事ができ、より細やかな治療の提供が可能となります。
また、当院では画像誘導放射線治療(Image Guide Radio Therapy:IGRT)を実施しています。IGRTとは、治療前に治療部位のCT画像(コーンビームCT)を撮影することにより、位置のずれ量を求めて寝台を移動させ、mm単位で正確な位置決めを行う高精度放射線治療技術です。この位置照合装置としてELEKTA社製HexaPOD evoというカウチトップ監視システムと6軸補正機能付きの治療寝台を用いて高精度の治療を行っております。

担当するスタッフは、経験の深い放射線治療医1名、診療放射線技師4名(内1名は医学物理士)、専従看護師と経験のあるスタッフを配置してチーム医療を行なっています。
日々スタッフ間での連携に重点を置き、患者さんに最適な治療が提供できるように心がけています。また乳房照射等の治療を行う場合には、可能な範囲で女性の診療放射線技師が治療に携わっています。 - 定位放射線治療
-
小さな腫瘍に対し、正確な位置精度を保ちながら多方向からのビームを収束させることで高線量を投与し、短期間で治療を終了させることのできる特殊な治療法です。「ピンポイント照射」とも呼ばれます。通常の放射線治療では、5~6週間程度の長期間かけて治療に必要な線量を分割して投与しますが、定位放射線治療の場合は1週間以内で治療を終了させることが可能です。
当院では、「3cm、3個以下の転移性脳腫瘍」、「5cm以下でほかに転移のない原発性肺がん」に対し積極的にこの治療法を採用しておりますが、これ以外にも適応となる場合がございますので、詳しくは当科医師にお尋ねください。 - 放射線治療による疼痛緩和
-
がんの患者様を悩ませる大きな問題はがんによる疼痛です。強い疼痛に対してはモルヒネなどの鎮痛剤を用いますが、必ずしも疼痛のコントロールがうまくいくとは限りません。がんによる疼痛に対して放射線治療が著効ですが、残念なことにあまり知られていないようです。
たとえば、骨転移による疼痛がある場合、転移部位に放射線治療を行うと90%の患者様で疼痛の緩和が認められ、50%の患者様では疼痛がまったくなくなります。このほか、鎮痛剤ではなかなかコントロールできない痛みに、がんが末梢神経に浸潤して生じる神経痛がありますが、これに対しても放射線治療はよく効きます。 - 三次元原体照射(3D-CRT)
-
照射したい病巣部分とその周囲の正常臓器の位置関係を三次元的に把握し、正常臓器へのダメージを可能な限り抑えながら、病巣部分に治療に必要な線量を投与する照射法です。近年のコンピューティングパワーの向上、また治療装置のマルチリーフコリメータ(ターゲットの形にあわせた照射野を作る機能)の微細化など、機器の性能の向上により、こうした治療が可能となりました。
当院では通常照射で治療するほぼすべての患者様に対しこの照射法を採用し、放射線による副作用を可能なかぎり抑えながら治療を行うことを心がけています。前立腺がんに対する三次元原体照射例です。
治療計画
線量分布図
左図:治療計画です。膀胱(黄色)、直腸(緑色)を可能なかぎり避けるようにして、前立腺(赤色)への照射方向を決定しています。
右図:線量分布図です。中心の前立腺(オレンジで囲まれた部分)に線量が集中しているのがわかります。 - 転移性脳腫瘍に対する定位放射線治療
-
がんは身体のさまざまな臓器に転移することがあります。特に、生命維持の中枢ともいえる脳への転移は重大な問題です。薬の内服や点滴によって一時的に症状を改善させることはできますが、これは、一時的に症状を和らげるだけの治療になりますので根本的な治療にはなりません。原因である脳転移をきちんと制御することが必要になります。
従来の放射線治療では、周りの正常な脳組織にも放射線のダメージが及んでしまうため、病巣を十分制御できるほどの強い治療がなかなかできませんでした。しかし、当院に導入されている治療装置を用いると、病巣のみにピンポイントで照射する「定位照射」を行うことができ、正常な脳組織をほとんど傷つけることなく脳転移を制御することが可能です。治療に要する期間も1~3日と極めて短く、通常は1週間以内の短期入院で治療が可能です。
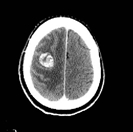
治療前
治療計画
線量分布図
治療後
転移性脳腫瘍に対する定位放射線治療例です。
左図:治療前の状態。丸く白く見えるのが腫瘍部分です。
中左図:治療計画です。多方向から腫瘍に照射します。
中右図:線量分布図です。腫瘍部分に線量が集中しているのがわかります。
右図:治療後の状態です。丸く白く見える部分がなくなり、腫瘍が消失しています。
放射線治療は、がんの制御や、がんに伴う疼痛など、さまざまな症状の緩和に非常に有効な治療法です。放射線治療は、特に欧米で広く普及しており、日本でも放射線治療を受けられる患者様は近年徐々に増加してきているものの、残念ながらまだ日本では欧米に比べて放射線治療を選択される患者様が少ないのが現状です。
近年では、副作用を可能なかぎり抑えた治療を行うことが可能になってきています。一人でも多くの患者様ががんの苦痛から解放されるよう、私たち放射線治療医は今後も日々努力を重ねていく所存です。 - 治療用照射装置出力線量の第三者機関による線量評価
-
放射線治療の品質を担保する為、公益財団法人医用原子力技術振興財団が実施する治療用照射装置の第三者出力線量評価を受けています。
