血管外科
閉塞性動脈硬化症(ASO)と血管内治療について
現在、末梢動脈の閉塞性動脈硬化症(ASO)が注目を浴びています。それは、患者様が急増しているという背景もありますが、一番の要因は、"血管内治療における技術革新"によるものです。皆さんも耳にしたことがあるかもしれませんが、「ステントグラフト(ステント)」と呼ばれる器具を使った大血管に対する技術が爆発的な広がりを見せています。こうしたことからもその技術革新の度合いを知ることができます。これから、こうした優れた治療法をご紹介します。
患者様や先生方にとっても、閉塞性動脈硬化症(現在では、広く「末梢動脈疾患(Peripheral Arterial Disease:PAD)」と呼ばれるようになりました)とその治療法の現状を一部でも知る手がかりとなれば幸いです。
閉塞性動脈硬化症(PAD)
21世紀に解決すべき疾患は、何といってもがんです。
その次は、脳梗塞や心筋梗塞、末梢の閉塞性動脈硬化症などの、いわゆる「アテローム性血栓症に起因するすべての疾患群」です。これらは動脈硬化に原因する全身病で、それぞれがその部分症といえます。
このため予防や治療を考える場合、その裾野を形成する閉塞性動脈硬化症(PAD)に注目することが極めて重要になります。

世界人口の約10%が閉塞性動脈硬化症(PAD)
閉塞性動脈硬化症が全人口の約10%といわれています。頻度が高い疾患のようですが、実際にはそれほど出会う疾患ではないと考えられていますが、軽症から足が腐った重症例まですべて含めるとこれくらいに達するようです。米国では、65歳以上の約15%に認められるともいわれ、日本でも中高年層に非常に多く認められます。
糖尿病、喫煙、高血圧症、脂質異常症などが代表的なリスクファクターです。
閉塞性動脈硬化症(PAD)は、全身アテローム性血栓症疾患の窓口
足などの動脈硬化を発見することは、脳梗塞や心筋梗塞を発見する重要な手がかりです。例えば下肢閉塞性動脈硬化症があると、冠動脈疾患の合併率が約6~7割、脳血管疾患の合併率は約4~5割弱といわれています。つまり足の病気(閉塞性動脈硬化症(PAD)を発見することが、最も効率よく脳梗塞や心筋梗塞を未然に防ぐことにつながります。それゆえ、「閉塞性動脈硬化症(PAD)は全身アテローム性血栓症疾患の窓口」といわれています。
いずれにしろ、閉塞性動脈硬化症(PAD)を発症していると予後は極めて不良であります。血液の通り道である動脈閉塞があると、左室後負荷(心臓の後、すなわち左心室から出て行く血液による心臓への負荷を後負荷、ということです。)が想像以上に大きくなることが最近の研究でわかってきました。 大切断(大切断とは下腿、大腿、股関節レベルでの切断)をすると、心臓に対する後負荷をさらに助長することになるからです。ちなみに下肢壊疽のために大切断をした方の予後は、4人に1人が1年後に亡くなられています(5年後ではありません!)。
また、一度下肢に潰瘍ができ始めると急速に進行することがしばしばあり、切断回避には時間的ゆとりがない場合が多いことも覚えておく必要があります。一般的には、そのような状態に至るまでには、十分な時間があります。

診断と治療方法(TASC分類とFontaine分類)
特に下肢閉塞性動脈硬化症に対する治療法は、担当医や病院などによってその方法がばらばらというのが現状でした。これは決して望ましいことではありません。このため2000年に、動脈病変の状態とそれに対応した治療法をまとめた世界規模のガイドラインがまとめられることとなり、2007年にその改訂が行われました。これを「TASC分類」と呼びます。
これより前に、臨床症状により分類する「Fontaine分類」がありますが、これは現在一般的に使用されている分類です。このほかに「Rutherford分類」というものもあり、よく使われます。
| Fontaine分類 | |
|---|---|
| I度 | 無症状または冷感、しびれ感 |
| II度 | 間欠性跛行 |
| III度 | 安静時痛 |
| IV度 | 潰瘍・壊死 |
症状による分類とその後の経過
Fontaine分類のI、II度が間欠性跛行肢(かんけつせいはこうし)、III、Ⅳ度が重症虚血肢です。Ⅰ、Ⅱ度であれば切断が必要になる可能性は5年後で約5%程度ですが、III、Ⅳ度になると約6か月後には40%近い方に切断する必要性が出てきます。
- 閉塞性動脈硬化症(ASO)の患者様は、平均すると中高年者の10人に1人はいらっしゃいます。
- 閉塞性動脈硬化症(ASO)は「全身病の窓口」です。
- 大切断に至ると、1年後に4人に1人の方が亡くなられます。
早期発見が全身病予防に大きく貢献
前述のごとく、間欠性跛行肢の段階で発見することが非常に重要です。実地医家の先生方が早期に発見するためには、患者様の訴えを聞いていただくことと、脈に触れていただくことに尽きます。
この際、おっくうがらずにズボン、ストッキングなどを脱いでいただき、大腿(大腿動脈)、膝窩(膝窩動脈)および足背(前頸骨動脈)、内くるぶし下方(後頸骨動脈)を必ず触ってみることがポイントです。
さらに、可能ならABI測定行うことをお勧めします。正常値はTASCでは0.9以上(2011年からAHA(米国心臓病学会)では1以上)となっていますが、1以上の方でも所見がある患者様はたくさんいらっしゃいます。
その場合は、専門医への紹介、または腎機能との兼ね合いを考慮して造影、CT検査まで考慮してみることが必要になります。
血管専門診断部門と専門スタッフについて
最近、血管外科を専門とする施設では、「Vascular laboratory」といって血管病を専門に診断する部門ができつつあります。
そこには認定試験を通った「CVT(Cardiovascular technologist)」という専門スタッフがおり、より専門性と効率性を図った診療が行われるようになってきました。また、医師にも、脈管専門医制度が発足しました。
全員が同等の臨床情報を共有して診断、治療を行っています。
- 間欠性跛行肢の訴えがなくても、探し出すつもりで診察しましょう。
- 血管雑音(ソケイ部、腹部、頸部など)も忘れずに確認しましょう。
- ABIが1以上でも、正常と思わない気持ちを持ちましょう!
治療の概要を把握しましょう
- <薬物療法、禁煙、全身病コントロールについて>
-
薬物治療は、抗血小板療法、血管拡張療法が中心となります。また、脂質を改善するスタチン系薬の服用も重要です。喫煙は、"全身の血管の首を絞めていると思え"とよくいわれます。せっかく薬物療法で血流をよくしようとしても、それと逆の作用をする喫煙を同時に行ったのでは、治療の意味がなくなってしまいます。
糖尿病、高血圧、脂質異常症などのコントロールが重要なことは、申し上げるまでもありません。 - <運動療法>
- 30分程度のウオーキングを、できれば一日に2回行うと側副血行路(側副血行路とは主動脈あるいは主静脈の血行路に閉塞が生じた場合などに、枝分かれや側枝により形成された迂回路によって組織への血流が確保する確保、維持される循環系のことです)の発達に非常に有用と考えられています。ただし、心臓病や脳血管障害などがあり、運動制限がある方は、指示に従ったやり方が重要です。
- <手術療法>
-
手術療法は「薬物療法や運動療法、生活改善でよくならない場合」、「重症虚血肢の場合」に主に適応となります。間欠性跛行肢の状態でも、その人が生活を送る上で支障がある場合には、積極的に適応されます。
手術療法は、バイパス手術と血管内手術(カテーテル治療ともいいます)がありますが、血管内手術の占める比率が急速に大きくなってきています。現在では、まず血管内手術の適応を検討するのが一般的になってきています。
1.バイパス手術(全身麻酔をして切る手術)

2.血管内手術(低侵襲手術の代表で、局所麻酔をかけて切らない手術)
ガイドワイヤー通過
![]()
バルーン拡張
![]()
ステント留置
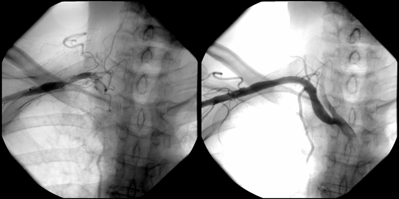
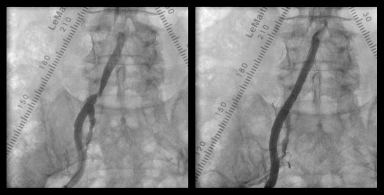
血管内手術
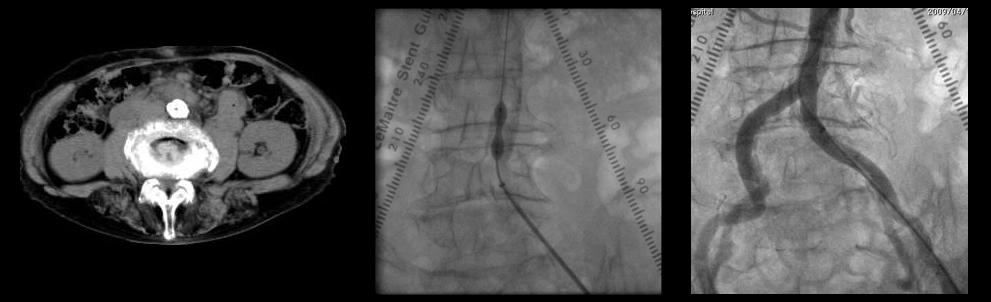
- 大動脈狭窄 【写真】
- 高位大動脈閉塞(Leriche synd) 【写真】
- 腸骨動脈完全閉塞(右) 【写真】
- 腸骨動脈狭窄 【写真】
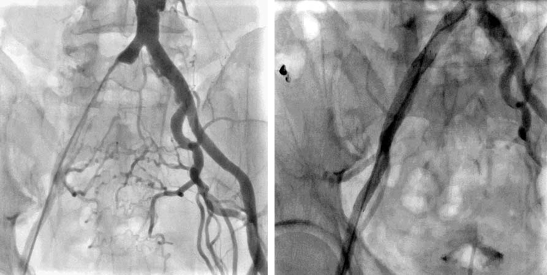
- 浅大腿動脈狭窄 【写真】
- 浅大腿動脈閉塞 【写真】
- 3枝閉塞 【写真】
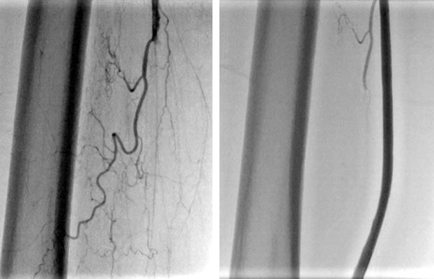
- 脛骨腓骨動脈幹(peroneal trunk) 【写真】
- 後脛骨動脈(posterior tibial artery) 【写真】
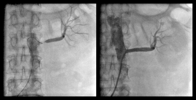
- 腎動脈 【写真】
- 鎖骨下動脈 【写真】
3.1・2を組み合わせたハイブリッド手術
考え方としては、早期であるほど2の血管内手術のみで治る可能性が高いと考えてよいでしょう。現在の末梢動脈に対する血管内手術の適応は、大動脈・腸骨動脈領域から膝下動脈、さらに足関節から足趾にまで及びます。しかし、それぞれの治療法には当然ながら適応があります。このためしばしば従来からの手術との組み合わせであるハイブリッド手術が必要になりますが、血管内呪術の関与する割合は8~9割にも及んでいます。
4.フットケア
最後に忘れてはいけないのが「フットケア」です。「フットケア」とは、たとえば足の爪を切るほか、保湿などのスキンケアやマッサージ、皮膚症状などのケアを指します。
末梢の閉塞性動脈硬化症を治療する医師は足病医とも呼ばれますが、足先まで細かい血管支配を考慮した血行再建を行った上での丹念な創部管理が重要です。これを怠ると、せっかくの治療が台無しになってしまいます。
- 血管の病気は、瘤になるか、つまるかのどちらかしかない。つまらせ役の筆頭は高血圧症、材料はLDLコレステロールです。
- 手術は、カテーテル術を中心にハイブリッド治療が行われます。
- 根気よくフットケアを継続することが大事です。
透析治療を受けている患者様への対応
特に糖尿病が原因で透析療法を受けている方の多くは、閉塞性動脈硬化症を合併していると考えてよいでしょう。透析治療を受けていて潰瘍性病変ができてしまった方の治療成績や予後は極めてよくありません。透析患者様こそ、早期発見、早期治療が重要です。
特に潰瘍ができ始めると病気の進行が極めて早く、治療の機会を失ってしまう可能性が高くなります。潰瘍ができる前に、是非とも病変の発見に努めたいものです。
