循環器内科
虚血性心疾患(狭心症、心筋梗塞)
虚血性心疾患とは?
心臓は主として筋肉(心筋)で出来ており、その収縮により血液を全身に送り出すポンプとしての機能を果たしています。そのような重要な仕事をする元となるエネルギー(酸素や栄養)は心臓を取り巻く3本の血管により供給されています。この血管は、大動脈が心臓から出てすぐに左右 に1本ずつ分枝し、さらに左の血管は前後に分枝します(図1)。

この動脈は心臓の表面を冠(かんむり)状に取り囲んでいるため、冠状動脈(略して冠動脈)と呼ばれるようになりました。この冠動脈に動脈硬化がおこり狭くなると、冠動脈を介して心筋に運ばれる酸素が不足します。
そのように心筋への血流が少なくなった状態を総称して、虚血性心疾患と呼びます。狭心症と心筋梗塞がその代表的なものです。
狭心症と心筋梗塞の違いは、心筋が回復するかどうかで、狭心症では心筋が死なずに回復するのに対して、心筋梗塞は冠動脈が閉塞(詰まってしまうこと)し、血流が途絶え、心筋が死んでしまい回復しません。
いずれの病気も重症化すると心不全や不整脈を合併し生命の危険にさらされることになりますので、迅速な治療が必要です。
狭心症について
- 1.狭心症とは?
-
心臓を取り囲む3本の冠動脈が狭くなり、十分に酸素が行き渡らないのが狭心症です(図2A・B)。 狭心症の原因の大部分は、動脈硬化により冠動脈が狭くなり生じる「労作性狭心症」です。しかし、動脈硬化が軽度でも、冠動脈のれん縮(けいれん)により一時的に血流が低下する「冠れん縮性狭心症」という病気もあります。

冠動脈が狭くなり、血液が十分に流れない

心臓の筋肉が酸欠になる

動くと胸痛が出る(安静にすると治まる)図2A.狭心症は、冠動脈が狭くなり心筋が酸欠になる病気です

正常な冠動脈の血流
X印で狭くなると、その先の心筋が酸欠になる図2B.狭くなった冠動脈の先の心筋は酸欠状態になります
- 2.狭心症の症状は?
-
代表的な症状は胸痛(締めつけられる、重苦しいといった漠然とした痛み)です。狭心症の場合は数分から長くても十分程度で治まります。ニトログリセリンの投与により症状が数分で改善します。 痛みの場所は、典型的には左前胸部ですが、肩や顎など、様々な部分に起こることがあり、歯の痛みと思い歯科を受診したところ、歯には異常がなく狭心症の痛みであった、という事例もあります。
また、糖尿病患者や高齢者の方では痛みを感じる神経が鈍くなり、はっきりと症状が出てこないこともあります(これを無痛性心筋虚血といいます)。このほか、痛みに伴い、動悸や呼吸困難、めまいといった症状が出現することもあります。 - 3.狭心症を診断するための検査は?
-
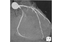
一般的な検査として、まず胸部レントゲン写真、心電図、血液検査などを行います。また、心臓超音波検査(心臓に超音波をあて、動きや血液の流れをリアルタイムに見る検査)やホルター心電図(24時間連続記録する心電図)検査なども行います。そのような検査にて狭心症が疑われる場合には、より詳しい検査として、運動負荷心電図、心筋シンチグラフィー(図3)、冠動脈CT検査(図4)を行います。
以上の検査は外来でも行えるものですが、それでも診断がはっきりしない場合、もしくは狭心症を強く疑い、精密検査や治療が必要と判断された場合は、心臓カテーテル検査が必要です。心臓カテーテル検査のためには2~3泊の入院が必要です。
図3. 心筋シンチグラフィー検査
上段が運動負荷時、下段が安静時。運動
をすることにより、心筋の血流が一部で
悪くなる(矢印部)のが分かります。
図4. 冠動脈CT検査
造影剤を注射し、撮影して得られた画像
から冠動脈の状態が分かります。 - 4.狭心症の治療は?
-
薬物治療、カテーテル治療、外科治療(バイパス手術)の3つがあります。
■ 薬物治療
全ての治療の基本になります。血液の流れをよくする薬剤、心臓の血管を広げる薬剤、心臓の負担を減らす薬剤、コレステロールを低下させる薬剤などが用いられます。カテーテル治療、外科手術を施行した後も、薬物治療は生涯必要です。■ カテーテル治療
心臓カテーテル検査にて、冠動脈に狭い部分が見つかった場合、狭くなった部分を拡げる治療が必要になることがあります。それが、カテーテル治療(経皮的冠動脈インターベンション治療:PCIともいいます)です。通常、左もしくは右の手首の動脈からカテーテルという細い管を進め治療を行います。狭い部分に対し、風船で拡げる治療を行い、さらにステントという金網を留置し、再び血管が狭くなることを予防します。
今まで、このステント治療後の再狭窄率(治療した血管が再び狭くなってしまう確率)は20~30%でしたが、近年、表面に薬剤が塗ってある新しいタイプのステントが開発され、再発予防に強力な効果をあげています(再狭窄率10%未満)。病変部の性状や患者様のライフスタイルにより、使用するステントのタイプを決定することになります。またステント治療のためには、血液をサラサラにする薬剤の追加投与が必要となります。■ 外科治療(バイパス手術)
冠動脈の狭くなっている部分より下流の冠動脈と大動脈とをバイパス血管で結んだり、心臓の近くにある動脈の行き先を、狭くなっている部分より下流の冠動脈へ付け替える手術です。バイパス血管として使用するのは自分の大伏在静脈(内くるぶしから大腿部の内側に上行する静脈)、内胸動脈(胸骨の裏を縦走する動脈)、胃大網動脈(胃の下側を走る動脈)、橈骨動脈(前腕の親指側の動脈)などがあります。
現在、当院ではまだこの手術には対応しておりませんので、必要な場合には手術が可能な他の医療機関に責任を持って紹介いたします。
急性心筋梗塞について
- 1.急性心筋梗塞とは?
-
冠動脈が完全につまり、血流が途絶えてしまう病気(図5)です。その結果、つまった先の血管により養われていた心臓の筋肉が死んでしまいます。
狭心症と違う点は、狭心症は血流が回復すれば心筋のダメージは一時的なもので、やがて元に戻りますが、心筋梗塞の場合は心筋が壊死(酸欠のため死んでしまうこと)に陥ってしまい、心筋のダメージが残ります。従って、心筋梗塞は生命にかかわる病気であり、基本的には発見されれば即、入院が必要です。
冠動脈が血栓などのため、つまってしまう

心臓の筋肉が無酸素になり、死んでしまう

胸痛が治まらない図5. 急性心筋梗塞は、冠動脈がつまり心筋が壊死してしまう病気です
- 2.急性心筋梗塞の症状は?
-
狭心症より強い症状が特徴です。胸痛、胸の圧迫感があり、冷や汗、吐き気などを伴うことがあります。たいてい30分以上で、数時間続くこともあります。しかし、狭心症の項目でも述べましたが、糖尿病患者や高齢者の方では痛みを感じる神経が鈍くなり、はっきりと症状が現れず、吐き気やめまいなどの軽微な症状のみのこともあります(無痛性心筋梗塞といいます)。
このような場合は採血や心電図検査などで初めて心筋梗塞が発見されることになります。 - 3.急性心筋梗塞を診断するための検査は?
- 上記の症状がある時は、即、救急車を呼んで、専門医療機関を受診してください。すぐに、血液検査、胸部レントゲン検査、心電図、心臓超音波検査などを行います。その結果、急性心筋梗塞が疑われる場合には、緊急で心臓カテーテル検査を行います。
- 4.心筋梗塞の治療は?
- 心臓カテーテル検査の結果、冠動脈につまっている部分を認めた場合には、血管を開通させる治療(経皮的冠動脈インターベンション治療:PCI)を行います。治療としては、つまっている部分に細い針金を通し、血栓(血のかたまり)を吸い取ったり、風船で狭い部分を拡げます。さらに、それで不十分な場合には、ステント(金網)を用いる治療法を追加します。
- 5.心筋梗塞を起こした後に注意すべきことは?
-
冠動脈インターベンション治療により、血管が開通し救命が得られたとしても、病気が完全に治るわけではありません。アスピリンなどの血液が固まるのを防ぐ効果がある薬を治療直後から長期間服用する必要があります。抜歯や、他の科での手術などで薬の中止・休止が必要な場合には必ず主治医に御相談ください。
また再発予防のために、糖尿病、高脂血症、高血圧、喫煙などの危険因子の管理・治療はきわめて重要です。特に、禁煙は絶対に必要です。また、ダメージを受けた心筋を保護し、心臓の働きの低下を最小限にとどめるために、薬物療法の継続も重要です。
心臓カテーテル検査について
- 1.心臓カテーテル検査とは?
-
- カテーテルとは「管」を意味する言葉で、通常心臓の検査、治療に使うカテーテルは1~3mmの太さです。
- カテーテルを手首や大腿の血管から体内に入れて、心臓まで進め、「造影剤」という薬を注射しながら撮影します。
- 2.心臓カテーテル検査で何が分かるか?
-
- 冠動脈が狭くなっているかどうか(冠動脈造影:図1)や、心臓の伸び縮みが正常かどうか(左心室造影:図2)分かります。
- 心臓の弁に、逆流(漏れ)や狭窄(狭くなること)がないかどうか分かります。
- 必要な時には、心臓の筋肉の一部を採取(生検といいます)し、顕微鏡で観察し、心臓の筋肉の病気がないかどうか分かります。
図1. 冠動脈造影検査
冠動脈の一部が狭くなっている
(矢印部)のが分かります。
図2. 上段:正常の左心室造影検査
右が収縮期、左が拡張期です。
下段:心不全状態の左心室造影検査。
右が収縮期、左が拡張期で、正常
(上段)に比べると、心臓の収縮が
悪くなっているのが分かります。 - 3.心臓カテーテルの結果をみてどうするのか?
-
- 冠動脈の狭窄が軽度であれば、内服(薬)の治療のみで大丈夫です。
- 冠動脈の狭窄が高度であれば、経皮的冠動脈インターベンション治療(PCI)が必要になります。
- PCIが困難な、重症の冠動脈狭窄の場合は、外科治療(バイパス手術)が必要になります。
- 心臓の弁の病気(逆流や狭窄)が軽度であれば、内服の治療のみで大丈夫です。
- 心臓の弁の病気(逆流や狭窄)が高度であれば、手術(弁を締めたり、取り換える手術)が必要になります。
経皮的冠動脈インターベンション治療(PCI)について
- 1.PCIとは?
-
カテーテルを用いて、バルーン(風船)やステント(金網)により、冠動脈の狭くなった部分を拡げて、血流を良くする治療です(図1)。
冠動脈の狭窄部に折りたたまれたステントを進める

風船を拡げて、ステントを血管の壁に押し付けて密着させる

ステントにより血管は支えられて拡げられる
図1. 冠動脈ステント治療の模式図
- 2.バルーンとステントはどう違うの?
-
- PCIが開発された当初は、バルーン治療しか無く、そのような時代には治療後の再発率が30~40%と大変高率でした。動脈硬化を起こした血管は大変硬く、治療してもまた縮んでしまったり、血管の壁についた傷を治そうとして、血管からケロイドのような組織が盛り上がってしまうからです。
- ステントとは金網で出来た支えのことで、風船を使って血管の中からステントをしっかりと押しつけます。そうすると血管がしっかりと拡げられ、縮んだりしませんし、血管が盛り上がってもなお、ある程度の血管径を保つことができます。現在のPCIは約9割がステントを使用しています。
- 3.ステントにはどんな種類があるの?
-
- ベアメタルステント(通常の金属ステント)と薬剤溶出性ステント(表面に特殊な薬剤が塗布してあるステント)があります。
- 動脈硬化の状態や血管の太さ、患者背景(年齢や他の合併疾患など)により、ベアメタルステントと薬剤溶出性ステントを使い分けます。
- 4.ベアメタルステントと薬剤溶出性ステントはどう違うの?
-
- ベアメタルステントは血管に留置すると、血管を押し拡げることはできますが、血管の壁についた傷を治そうとする反応までは抑制できません。そのため、ベアメタルステントは治療後の再発率が20%程度あり、以前より問題とされていました。
- 薬剤溶出性ステントはベアメタルステントの再狭窄(再び血管が狭くなること)の問題を解決するために開発されたステントです。ステントの表面に特殊な薬が塗ってあり、血管の壁についた傷を治そうとする反応をも抑制します。そのため、再狭窄率は10%未満と、従来のベアメタルステントに比べ、格段に再発率が低下しました。
- 5.ステント治療の後はどうするの?
-
- ベアメタルステントでは最低1ヶ月、薬剤溶出性ステントでは最低1年の抗血小板剤(血液サラサラ薬)の内服が必要です。薬剤溶出性ステントはつまりにくい反面、金属が血管内に露出する期間も長くなるため、その場所に血栓が出来ないようにするための抗血小板剤の内服が長期に必要になります。
- 高血圧、糖尿病、高脂血症、喫煙などがありますとステントが再狭窄を起こす確率も高くなることが分かっています。内服治療を継続すること、生活習慣を改めることが必要です。